 
  
  
 
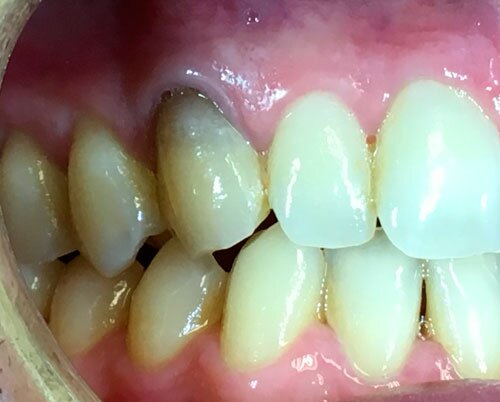
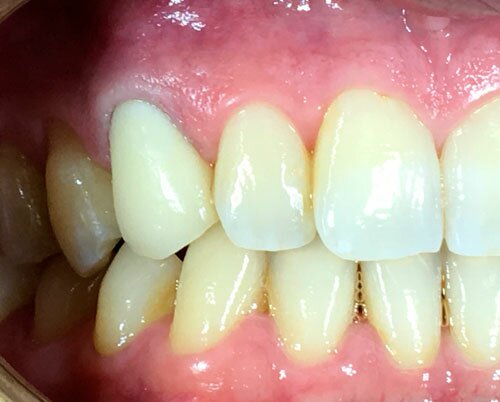
Quan les dents tenen un deteriorament major s'utilitzen les fundes, que actualment poden ser realitzades íntegrament en porcellana eliminant les bandes fosques que moltes vegades poden apreciar-se en les fundes de metall - porcellana.
            
            Aquestes fundes poden ser realitzades amb:
            Ceràmiques feldspàtiques.
            Porcellana CAD- Cam: Porcellana d'alta resistència Disilicato de Litio o Zirconio dissenyades amb ajuda d'un escàner i manufacturades mitjançant robòtica.
            
            El Disilicato de Litio i de Zirconi milloren notablement les propietats mecàniques de la ceràmica, però disminueixen la seva translucidesa; per la qual cosa s'utilitzen per fabricar el nucli de la funda que després és recobert amb porcellana convencional per aconseguir una bona estètica.
            
            Aquestes fundes actualment, gràcies a la tecnologia computacional poden tenir gruixos mínims i alta resistència tensional, de manera que poden realitzar-se ponts de diverses peces sense problemes.
            
            (Totes aquestes innovacions protèsiques no desmereixen la fiabilitat i predicció de resultats de les fundes i ponts de metall ceràmica convencionals).
            
            Exemples: porcellanes feldspàtiques tipus Empress®.
            
            Disilicato de liti tipus IPS - e Max.
            
            IPS e.max Dióxido de circonio.
            
            Emblanquiments   Carilles de porcellana   Restauracions de composite




